
Project description
The human gut is involved in shaping and maintaining the normal function of the immune system. We have recently identified microbes that are associated with a higher risk of developing Crohn’s disease (CD).
However the causal implication of these microbes in disease onset is not known. In this work we inoculated recipient germ free mice with stool from donor initially healthy that later develop CD (pre-CD), as well as matched individual that remained healthy (HC) during the same period of time.
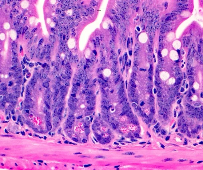
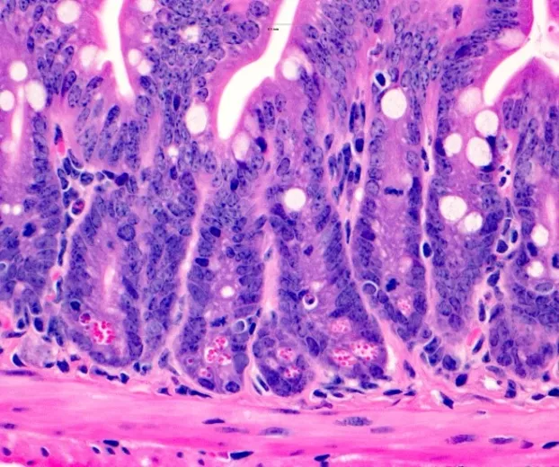
Our analysis showed that pre-CD microbiota increased levels of fecal lipocalin-2 (a marker of gut inflammation) compared to mice receiving stool from HC. This study suggests that a pre-CD microbiota promote gut inflammation. This study will led to new therapeutic opportunity to prevent the onset of disease by targeting causal microbiome involved in the onset of Crohn’s disease
The Biocodex Microbiota Foundation gave me a unique capacity to demonstrate experimentally my hypothesis. I am very thankful to the Foundation, as this opportunity taught me how to design, execute, plan, anticipate, and interpret my very own project.
Many years later...News from Dr. William Turpin
Introduce yourself, your research project, and your experience with the Microbiota Grant
I’m Dr. Williams Turpin and I’m a passionate researcher in all things microbiome. I obtained my PhD in Montpellier, France where I got to explore the fascinating topics of probiotics and their impacts on human health. I moved to Toronto, Canada to do my postdoctoral research at the University of Toronto to investigate how human genes influence the human gut microbiome. I then obtained a Research Associate position at Mount Sinai Hospital to further explore data collected as part of the CCC-GEM projects which aim to identify the triggers leading to the development of Crohn’s disease with a focus on the human gut microbiome.
At that time, I had accumulated evidence that the gut microbiome is involved in Crohn’s disease pathogenesis. However, these results were detected from sequencing analysis and had remained to be validated experimentally. In this context the Biocodex Microbiota Grant helped me to go beyond simple association to test if the microbiome collected many years before the development of Crohn’s disease was capable of promoting colitis in germ free recipient mice. The results were astonishing and allowed me to demonstrate the potential of the microbiome to promote inflammation. Using data generated from the Biocodex Microbiota Grant, I was able to secure further funding to confirm this observation. More recently, in 2024, I was able to secure a CIHR grant to continue to explore the microbial mechanisms that contribute to increase risk or protection in Crohn’s disease. Due to these accomplishments, I secured my current role of Translational Scientist at Mount Sinai Hospital, Toronto where I hope to provide novel therapeutic tools to prevent or delay the onset of Crohn’s disease.
What inspired you to pursue this specific research project?
Inflammatory bowel disease is very prevalent in the modern world and is predicted to affect almost half a million people by 2035 in Canada. Its incidence is also rapidly increasing in children and is become more and more prevalent in the South Asian population. Once diagnosed, there is no cure and therapeutic treatments are limited. In addition, we still don’t fully understand the mechanism that lead to the onset of this chronic disease. In this context, I am motivated to identify the triggers of Crohn’s disease as I believe it is required to offer better treatment aiming at the cause of the disease and not only the symptoms of the disease. Personally, I know many colleagues and friends that suffer from the disease, and I hope that my research will be able to have a direct positive influence on their quality of life.
How has the Biocodex Microbiota Foundation Grant support contributed to the success and advancement of your research?
The Biocodex Microbiota Foundation Grant allowed me to take on high risk/ high reward research. By generating proof of principle, the Biocodex Microbiota Foundation Grant allowed me to secure more fundings to continue this work. This was also a critical step in my career and allowed me to extend my network of collaborators.
In what ways do you envision your work influencing the microbiota-related research in the future?
Now that we have demonstrated that the microbiota contributes to Crohn’s disease onset, we can explore novel intervention aiming to modulate the composition and function of the microbiome to reduce the abundance of bacteria linked to colitis. I still have plenty of ideas and concepts aiming to take advantage of this discovery; there is just so much that can be done. Not all ideas will be successful, but I envision that microbiota-related research in the future will need to combine wet lab experiments and advanced statistics. Indeed, there is still a lack of translational work combining observational data from human cohort that are confirmed experimentally. In this context, my goal is to employ methods such as Bayes statistics and machine learning algorithms to develop intervention capable of modulating the function of the microbiome. I am currently working on defining a personal, evidence-based dietary recommendation that allows the maintenance of a healthy gut microbiota.
Canada's winning projects

Stress-Microbiota-Stem Cell Axis Disruption in Intestinal Epithelial Dysfunction and Therapeutic Restoration

Painful autoantibody cross-reactivity with the gut microbiome in fibromyalgia

PEARL-UTI: Probing the Essential and Adaptive Role of gut, vaginal microbiomes, urobiomes and mucus-like niches in the development of urinary tract infections in early adulthood women: a translational investigation

Evolution of the intestinal microbiome, inflammatory markers, and body composition across lactation stages in infants born to women with normal weight and overweight/obesity

Does immunosuppression contribute to metabolic syndrome via the intestinale microbiome?

Influence of hyperglycemia on the host-microbiome interactions during subgingival microbiome dysbiosis

Role of mucin-type O-glycans in regulating commensal vs. pathologic functions of Prevotella species in IBD

The role of commensal microbiota on dietary tryptophan metabolism: Implications for inflammatory bowel disease






